

At Nana Dental Clinic, we have introduced UTTER WHITE , which brings out the natural whiteness of teeth without scraping them.
Teeth white info. Put more here.
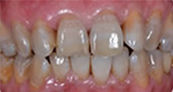
Before treatment
After treatmentEasy! You can start immediately on the day.
There is no need to clean your teeth or coat your gums beforehand, so you can whiten your teeth on the same day as your visit.
Easy! You can start immediately on the day.
There is no need to clean your teeth or coat your gums beforehand, so you can whiten your teeth on the same day as your visit.
Do not remove! It doesn't stain! Painless!
After White is a method to bring out the original whiteness of the teeth without scraping the surface of the teeth. It does not sting or feel pain like general whitening.
No restrictions on eating, drinking or smoking!
There are no restrictions on eating, drinking (curry, red wine, etc.) or smoking before and after the treatment.
Effectiveness and safety recognized in the United States!
The gel used in Utter White is a drug that has been recognized for its effectiveness and safety by the FDA (Food and Drug Administration) in the United States, which is an advanced whitening country.

Get beautiful, healthy gums with gum whitening.
Gum whitening is a treatment that removes the darkening of the gums due to melanin deposition with a chemical solution. Dark gums look unattractive and unhealthy. Get clean and beautiful gums with gum whitening.
Before treatment
After treatment